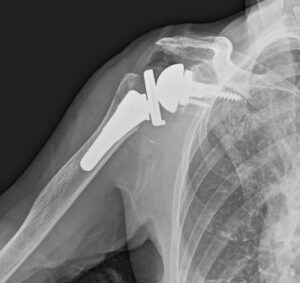
人工肩関節置換術 70代女性
70代女性の右変形性肩関節症に対し、人工肩関節置換術を行いました。
股関節や膝関節と同様に、肩関節も加齢による変形が進行することがあります。
股関節や膝関節と違い、体重がかかる荷重関節ではないので、手術件数は多くありませんが、
痛みのため日常生活に支障が生じた場合は、手術の適応となります。
70代の女性の変形が進んだ肩関節です。
上腕骨骨頭と肩甲骨の軟骨の消失により、骨が接触して痛みが生じます。
肩関節置換術の経験豊富な、押領司病院(宮崎県小林市)理事長 寺谷威先生をお招きして
右人工肩関節置換術を行いました。
REVERSE型という、新しい概念でデザインされた人工肩関節で、
超高齢で肩関節の機能が低下している方にも有効です
肩関節痛の原因は変形だけではなく、肩の腱板(靭帯)や拘縮(いわゆる五十肩)で
あることも多いです。
診察や検査で原因を確定する必要がありますので、肩関節痛で困っている方はご相談ください。





