人工関節周囲骨折の手術 70代女性
人工関節手術を受ける年代は、は50代から80代までの方が多いです。
術後の人生は10年から40年ぐらいまでと幅がありますが、徐々に筋力、視力など
様々な機能が衰えていくことは避けられません。
転倒により、人工関節を行なった関節周囲に骨折を起こすことがあります。
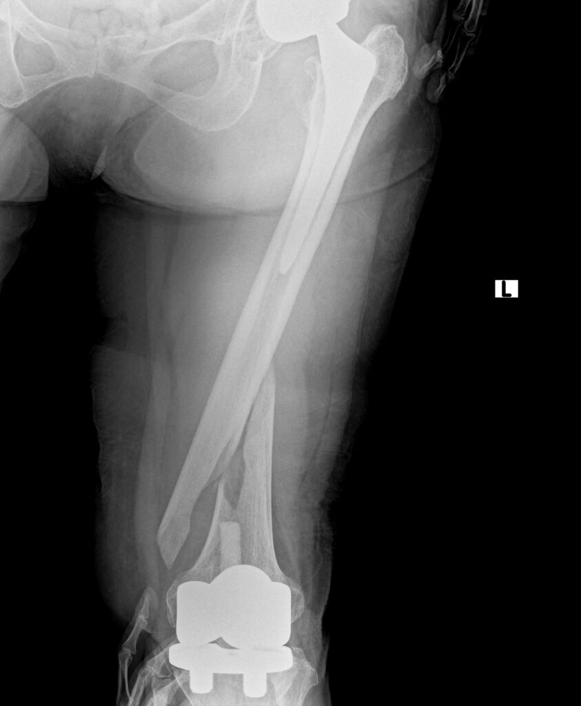
先日、左の人工股関節と左の人工膝関節手術を受けた70代の女性が、
転倒により左大腿骨骨折が生じたため手術治療を行いました。
人工股関節と人工膝関節の間で螺旋状に骨折しています。
通常であれば、膝関節を開けて逆行性髄内釘挿入手術を行います。
本来はそれほど難易度が高い手術ではありませんが、刺入部に膝人工関節、
固定すべき大腿骨近位に人工股関節があるため、挿入方向や髄内釘のサイズが限られ、
骨折整復が困難となります。
さらに、人工関節周囲に残存している骨が破綻した場合、
収集がつかない事態になるので、繊細な操作が要求されます。
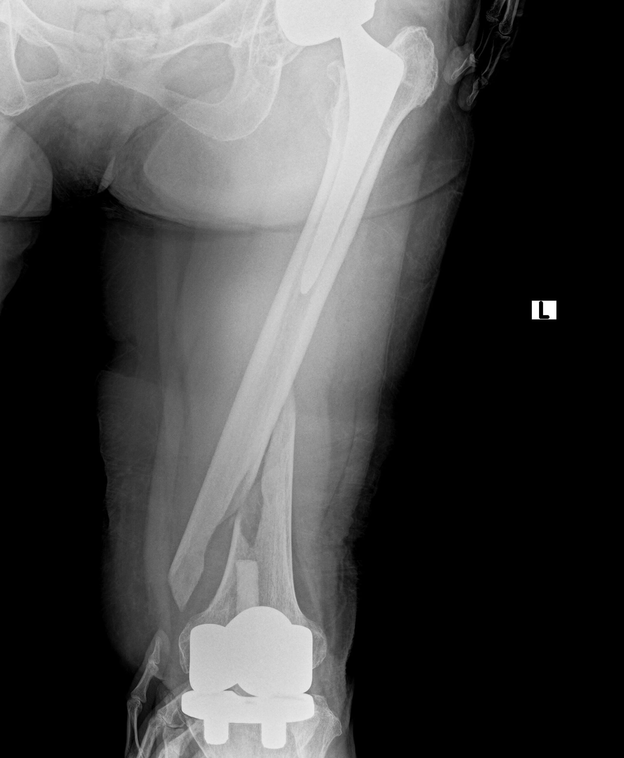
強固な固定が得られたので、激痛のため身じろぎもできなかった状態から、
手術翌日には車椅子に移乗できるようになりました。
CPM(膝可動域訓練機械)を早期に開始し、関節拘縮を予防します。
X線検査で骨癒合の程度をみながら、徐々に体重をかけていき
2〜3ヶ月での退院を見込みます。




